Best Dental Clinic in Katraj White Castle Dental Clinic
Transform Your Smile
Achieve your dream smile with our cosmetic dentistry services.
We excel in cosmetic dentistry, boosting the look of your teeth and restoring your smile's confidence. Our skilled team offers personalized, top-notch, premium care to address your specific requirements,
Don’t Hide Your Smile – Just Smile from Your Heart!


About Us
Why Choose Our Cosmetic Dentistry Services?
✅Teeth Whitening: Brighten your smile with professional teeth whitening treatments that remove deep stains and discoloration, leaving your teeth several shades whiter.
✅Porcelain Veneers: Correct imperfections such as gaps, chips, and uneven teeth with ultra-thin, custom-made veneers that provide a natural and flawless look.
✅Dental Bonding: An affordable and effective solution to fix minor chips, cracks, and discoloration using tooth-colored composite resin.
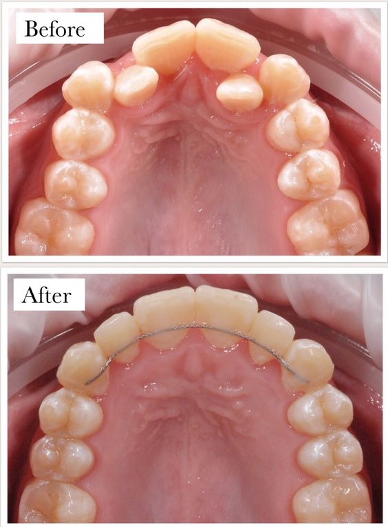
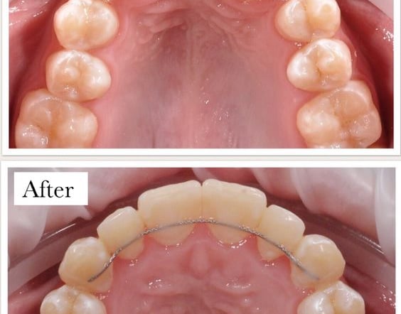
✅ Invisalign & Clear Aligners: Straighten your teeth discreetly with advanced clear aligners, offering comfort and convenience without traditional braces.
✅Gum Contouring: Reshape and balance your gum line for a more symmetrical and attractive smile.
✅Full Smile Makeover: A personalized treatment plan combining multiple cosmetic procedures to completely enhance your smile.
At White Castle Dental Clinic, we use cutting-edge dental technology and high-quality materials to deliver long-lasting and natural-looking results. Our experienced cosmetic dentists work closely with you to understand your goals and provide solutions that enhance both your appearance and oral health.
We provide personalized cosmetic dentistry to fix various dental issues like chipped, misaligned, worn-out teeth, and gaps with modern techniques.
Cosmetic Dentistry
We offer various cosmetic dental treatments like teeth whitening, veneers, implants, and orthodontics to help you get your dream smile.
